Pay My Bill
Referring Doctor Login
Patient Login
809 Wright's Summit Pkwy, Suite 110 Fort Wright, KY 41011
859-780-2550
About
Meet Dr. Harish K. Malyala
Meet Our Team
COVID-19 Update/Sterilization
Giving
Services
Root Canal Therapy
Endodontic Retreatment
Emergency Treatment
Endodontic Microsurgery (Apicoectomy)
Cracked Teeth
Traumatic Injuries
GentleWave®: Revolutionizing Root Canal Therapy
GentleWave®
Patients
Scheduling
Patient Registration
Financial Policy
Your First Visit
Patient Instructions
Tooth Pain Guide
Endodontic FAQs
Privacy Policy
State Of The Art Endodontic Technology
Why Choose an Endodontist?
Why Choose Our Practice?
Referrals
Endodontic Referral Form
CBCT Referral Form
Interesting Cases
Regenerative Procedures
Treatment Planning Options
Endodontic Case Assessment
Reviews
Contact Us
Request Appointment
859-780-2550
APPOINTMENTS
About
Meet Dr. Harish K. Malyala
Meet Our Team
COVID-19 Update/Sterilization
Giving
Services
Root Canal Therapy
Endodontic Retreatment
Emergency Treatment
Endodontic Microsurgery (Apicoectomy)
Cracked Teeth
Traumatic Injuries
GentleWave®: Revolutionizing Root Canal Therapy
GentleWave®
Patients
Scheduling
Patient Registration
Financial Policy
Your First Visit
Patient Instructions
Tooth Pain Guide
Endodontic FAQs
Privacy Policy
State Of The Art Endodontic Technology
Why Choose an Endodontist?
Why Choose Our Practice?
Referrals
Endodontic Referral Form
CBCT Referral Form
Interesting Cases
Regenerative Procedures
Treatment Planning Options
Endodontic Case Assessment
Reviews
Contact Us
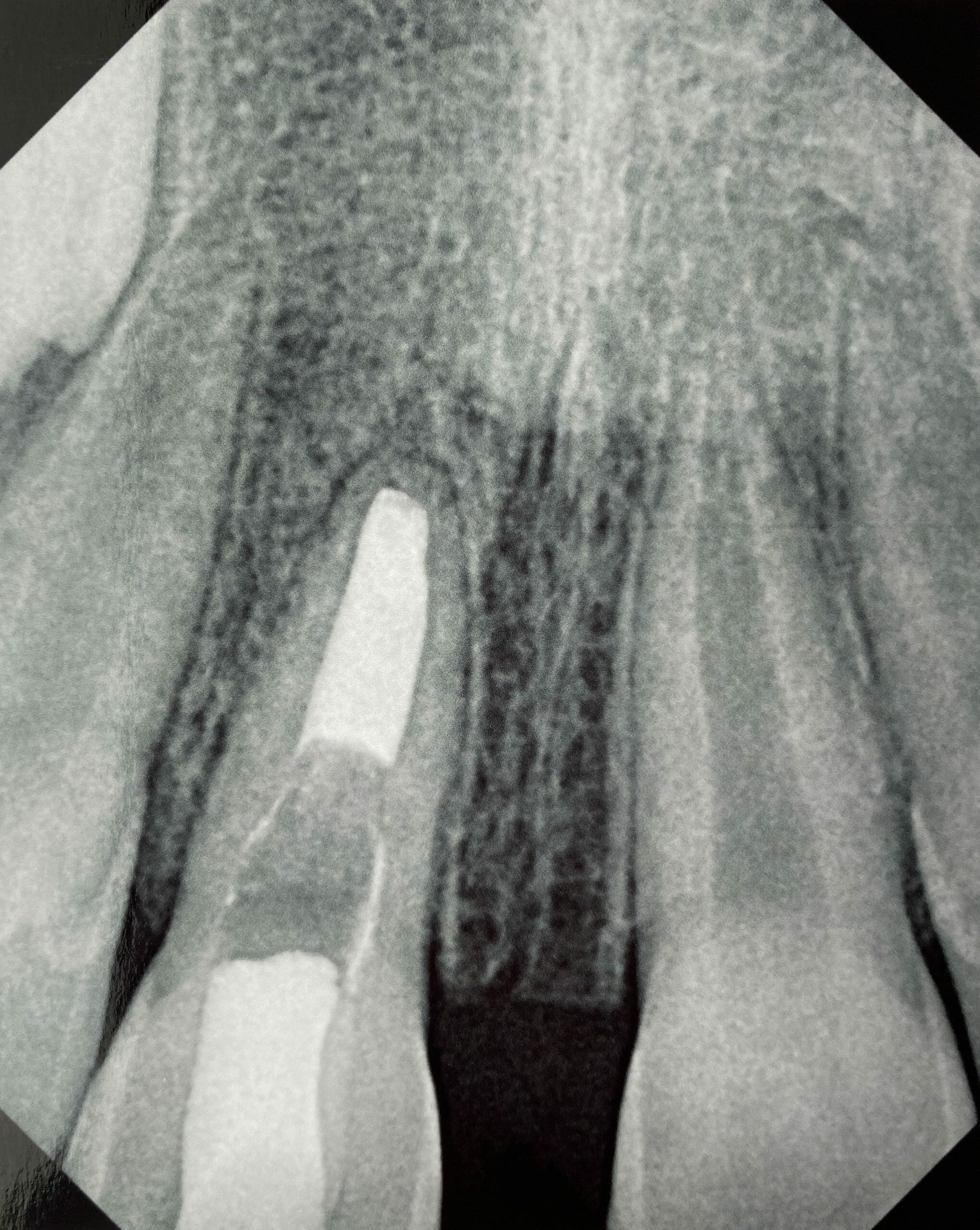
Apexification with Ca(OH)2
O
Click on an x-ray image below to see a larger version:
Previous
Next
Related Projects
“C”- Shaped Canal Pattern
Case Studies
/
Atypical Canal Anatomy
Case Studies
/
Root Canal Treatment
Case Studies
/